Ból nerki i krwiomocz - przyczyny
Mam 37 lat i na stałe mieszkam w Wielkiej Brytanii. Mój problem rozpoczął się ponad miesiąc temu bólem w okolicy prawej nerki. Poszłam do lekarza ogólnego, lekarz wziął próbkę moczu i zrobił jakiś szybki test w gabinecie, z którego wywnioskował, że mam infekcję układu moczowego. Zapisał mi antybiotyk (nazwy nie pamietam) na 3 dni co 12 h. Następnego dnia było jeszcze gorzej, do bólu doszedł jeszcze krwiomocz, więc poszłam jeszcze raz do lekarza i tym razem zapisał mi Amoxycyline 250 mg 3x dziennie na 5 dni. W nocy tego samego dnia dopadł mnie taki ból w okolicy nerek jakiego jeszcze nigdy nie doświadczyłam. Kiedy zadzwoniłam na pogotowie odradzili mi przyjazd bo powiedzieli, że samo przejdzie. Krwiomocz nie ustęplował, a w okolicach prawej nerki czułam lekki ból. Poszłam znów do lekarza, który tym razem przepisał mi Amoxycyline 500 mg 3x dziennie na siedem dni. Wysłał także mój mocz do laboratorium. Wynik przyszedl jako "normalny" czyli chyba nic im w tym laboratorium nie wyrosło. Lekarz skierował mnie także na USG, które wykazało, że nerka prawa jest jaśniejsza - co według pani robiącej usg wskazywałoby, że mam ciagle infekcję, a także że jest dylatacja przy ujsciu z nerki (zdjęcia z USG poniżej). Po zakończeniu drugiej dawki amoxycyliny krwiomocz ustąpił, mój mocz był przezroczysty koloru słomkowego. Było tak przez 2 tygodnie, w ten poniedziałek obudziłam się rano i zobaczyłam, że krwiomocz wrócił! Przy czym nie czuję bólu wogóle. Poszłam do lakarza ogólnego, oddałam mocz do analizy a także krew do analizy ogólnej oraz żeby sprawdzić funcję nerek. Wynik moczu wskazuje, że infekcji nie ma, wynik krwi ogólny także mam dobry a wynik krwi na funcję nerek też jest w porządku. Pani doktor powiedziała, że musi mnie skierować do urologa, bo chyba problem może być w pęcherzu. Proszę mi poweidzieć tak ogólnie co mi może być? Jadę na wymarzone wakacje za dwa dni, ale zamiast wypoczywać będę się tylko zamartwiać.
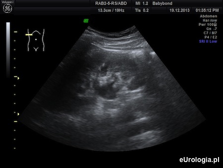
Fot. Poszerzenie układu kielichowo-miedniczkowego prawej nerki - obraz USG.
Odpowiedź zespołu eUrologia.pl
Z przedstawionego opisu wynika, że przebyła Pani atak bólu, który z opisu może odpowiadać kolce nerkowej. Z protokołu USG, który wysłała Pani na adres redakcji i załączonych zdjęć USG wynika, że układ kielichowo-miedniczkowy nerki jest umiarkowanie poszerzony co może sugerować przeszkodę w odpływie moczu z nerki. Poszerzenie UKM, krwiomocz i kolka nerkowa są objawami, które wymagają diagnostyki urologicznej. Konieczne są dodatkowe badania, które pozwolą na ustalenie przyczyny opisywanych objawów. Więcej informacji można znaleźć w artykule: Poszerzenie UKM - diagnostyka.
Polecane artykuły
Polecane filmy