Cysta dolnego bieguna nerki. Leczenie cysty na nerce.
W USG mam cystę dolnego bieguna nerki średnicy 3 cm. Nie mam bólu i krwi w moczu też nigdy nie było. USG było w ramach okresowych w mojej firmie. Czy cysta na nerce wymaga jakiegoś leczenia?
Odpowiedź zespołu eUrologia.pl
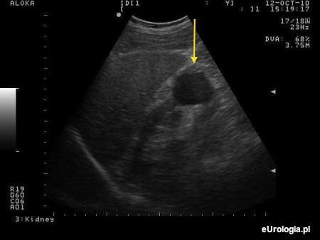
Domyślamy się, że określenia cysta używa Pan mając na myśli torbiel prostą nerki. Torbiel prosta jest cienkościenną przestrzenią wypełnioną płynem. Torbiel o takich rozmiarach i lokalizacji nie wymaga dodatkowej diagnostyki i leczenia. Więcej informacji znajdzie Pan w artykule: Torbiele proste nerek.

Fot. Torbiel prosta dolnego bieguna prawej nerki.
Polecane artykuły
Polecane filmy