Czy guzy nerki są zawsze złośliwe?
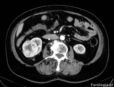
W badaniu USG mojego ojca stwierdzono lity guz nerki średnicy 4 cm. Czekamy na tomografię komputerową. Czy jest duża szansa, że guz okaże się rakiem nerki?
Odpowiedź zespołu eUrologia.pl
Blisko 90% litych guzów stwierdzanych w tomografii komuterowej okazuje się rakiem jasnokomórkowym nerki. Więcej informacji można znaleźć w dziale: Rak nerki - diagnostyka i leczenie.

Fot. Guz prawej nerki - obraz w tomografii komputerowej.
Polecane artykuły
Polecane filmy