Czy rak nerki daje przerzuty do płuc?
Mój mąż ma raka nerki - jest po operacji usunięcia nerki. Nefrektomia była wykonana dwa lata temu. E chwili obecnej mąż ma przerzuty do płuc. Czy rak nerki może dawać przerzuty do płuc? Czy fakt, że powstały one dwa lata po operacji nie nakazuje szukać innego źródła przerzutów?
Odpowiedź zespołu eUrologia.pl
Tak, najczęstszą lokalizacją przerzutów raka jasnokomórkowego nerki (łac. carcinoma clarocellulare) są płuca. Przerzuty raka nerki stwierdza się u blisko 30% pacjentów w chwili rozpoznania choroby. Najczęstsza lokalizacja przerzutów jasnokomórkowego raka nerki :
Płuca – 50-60%
Węzły chłonne – 30-40%
Kości – 30-40%
Wątroba – 30-40%
Nadnercza – 20%
Druga nerka – 10%
Mózg – 5%

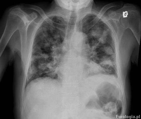
Fot. RTG klatki piersiowej - przerzuty do płuc w przebiegu zaawansowanego raka nerki.
Fakt powstania przerzutów dwa lata po operacji wymaga dalszej diagnostyki. Badania obrazowe pozwolą ocenić stopien zaawansowania choroby. Istnieje ryzyko, że przerzuty są innego pochodzenia niż rak nerki.
Polecane artykuły
Rak nerki - objawy, rozpoznanie i leczenie
Badania diagnostyczne w guzach nerki
Metody leczenia guzów nerki
Klasyfikacja TNM guzów nerki
Budowa anatomiczna nerek
Polecane filmy
Nefrektomia częściowa - operacja robodem da Vinci
Nefrektomia laparoskopowa - laparoskopowa operacja usunięcia nerki
Nefrektomia lędźwiowa - operacja usunięcia nerki z powodu wielotorbielowatości
Anatomia i fizjologia układu moczowego