Przerzuty raka prostaty do mózgu
Mój teść ma zaawansowanego raka gruczołu krokowego. W wyniku biopsji robionej przy PSA ponad 100 ng/ml - Adenocarcinoma prostatae Gleason 4=4=8. W chwili obecnej teść ma założone nefrostomie do obu nerek z powodu wodonercza. Obecnie teść ma czkawkę i problemy z widzeniem. Neurolog, który konsultował ojca podejrzewa przerzyty raka prostaty do mózgu. Czy rak prostaty może dawać przerzuty do mózgu?
Odpowiedź zespołu eUrologia.pl
Zaawansowany rak gruczołu krokowego - prostaty może dawać przerzuty do mózgu. W większości przypadków leczenie operacyjne nie wchodzi w rachubę ze względu na zaawansowanie choroby. Możliwe jest leczenie objawowe, którego zadaniem jest złagodzenie dolegliwości i poprawa komfortu życia pacjenta.

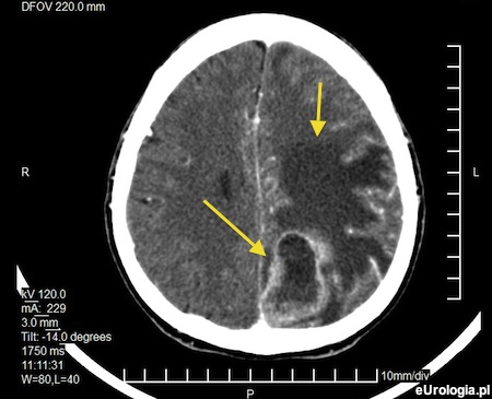
Fot. Skan tomografii komputerowej u wykonanej u pacjenta z przerzutowym rakiem gruczołu krokowego. Strzałkami zaznaczono ogniska metastatyczne.
Polecane artykuły
Rak gruczołu krokowego - informacje ogólne
Metody leczenia raka gruczołu krokowego
Zaawansowany rak prostaty
Hormonoterapia raka gruczołu krokowego
Skala Gleasona - ocena histopatologiczna raka gruczołu krokowego