Dwa guzy w pęcherzu moczowym - stopień zaawansowania nowotworu
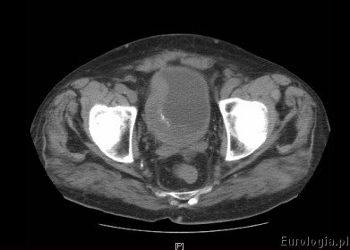
W tomografii komputerowej stwierdzono u mojego ojca dwa guzy pecherza moczowego 25mm i 35mm oraz wodonercze prawej nerki. Pierwsze objawy (krwiomocz) pojawiły się około roku temu powtarzając się kilkakrotnie w ciągu kilku miesięcy (niestety wizyty i badania u różnych lekarzy nic nie wykazały). Jak bardzo może być zaawansowana choroba i jakie mogą być skutki raka pęcherza moczowego?
Odpowiedź zespołu eUrologia.pl
W opisie tomografii komputerowej powinna być zawarta informacja na temat ewentualnego nacieku tkanki tłuszczowej okołopęcherzowej lub ograniczeniu guza do ściany pęcherza moczowego. Najważniejszą kwestią w tej chwili jest wynik histopatologiczny materiału uzyskanego z przezcewkowej elektroresekcji guza pęcherza moczowego - TURT. Patomorfolog analizując nadesłany materiał określi z jakich komórek zbudowany jest guz i jaki jest stopień w klasyfikacji TNM guzów pęcherza moczowego. Budowa histologiczna guza - jego stopień złośliwości, klasyfikacja TNM i stan ogólny chorego są decydujące w dalszym postępowaniu leczniczym. Z przedstawionych informacji wiemy jedynie, że w pęcherzu moczowym są dwa guzy, z których jeden najprawdopodobniej nacieka na ujście moczowodu.

Fot. Guz pęcherza moczowego pT1aN0M0 - obraz w czasie TURT.

Fot. Guz pęcherza moczowego - obraz w tomografii komputerowej.
Polecane artykuły
Polecane filmy