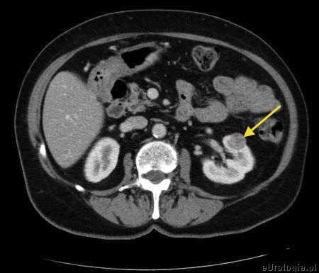
Guz nerki - enukleacja
Mam 58 lat i 3 tygodnie temu w USG brzucha wykryto u mnie guz nerki średnicy około 2 cm. Obecność guza w nerce potwirdziło badanie KT jamy brzusznej. Urolog, który będzie mnie operował twierdzi, że guz jest mały i dobrze zlokalizowany więc spróbuje zrobić enukleację - oszczędzi mi nerkę. Czy enukleacja guza nerki jest zabiegiem bezpiecznym? Czy nie lepeiej usunąć od razu całą nerkę.
Odpowiedź zespołu eUrologia.pl
W przypadku małych guzów nerki, zlokalizowanych brzeżnie optymalnym sposobem leczenia są operacje polegające na usunięciu guza z oszczędzeniem nerki. Wiele badań dowiodło, ze
