Guz pęcherza w USG
U mojego męża stwierdzono w USG guz pęcherza moczowego o wymiarach 10 mm x 11 mm. Czy guz o takich rozmiarach jest duży? U męża występuje okresowo krwiomocz i w chwili obecnej czekamy na cystoskopię. Obie nerki w badaniu USG są prawidłowe. Mąż choruje na chorobę wieńcową i cukrzycę, w chwili obecnej ciśnienie utrzymuje się na poziomie 170/107. Mimo zmiany leków ciśnienie nie obniża się. Czy wysokie wartości RR mogą mieć związek z guzem pęcherza moczowego. Jak wygląda dalsze postępowanie w przypadku potwierdzenia guza?
Odpowiedź zespołu eUrologia.pl
Wielkość opisywanego przez Panią guza nie jest duża. W przypadku prawidłowego obrazu nerek w badaniu USG jamy brzusznej jest mało prawdopodobne aby guz w pęcherzu mógł być przyczyną opornego w leczeniu nadciśnienia tętniczego. Pierwszym krokiem w przypadku potwierdzenia guza w cystoskopii będzie przezcewkowa resekcja guza. Zabieg wykonywany jest w znieczuleniu regionalnym lub dożylnym i polega na wycięciu resektoskopem guza przez cewkę moczową. Materiał tkankowy uzyskany podczas TURT pozwala na ocenę histopatologiczną guza.

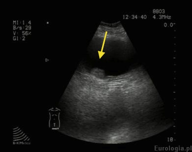
Fot. Guz pecherza okolicy ujścia prawego moczowodu średnicy 14 mm widoczny w USG
Budowa histopatologiczna guza oraz stopień miejscowego zaawansowania pozwolą określić dalsze postępowaniu. Przezcewkowa resekcja guza w pęcherzu wymaga pozostania w szpitalu na kilka dni. Czas oczekiwania na wynik histopatologiczny w naszym kraju wynosi od 2 - 3 tygodni.
Polecane artykuły
TURT - przezcewkowa resekcja guza w pęcherzu - opis zabiegu
Cystoskopie kontrolne po TURT
Obraz USG guza pęcherza moczowego
TURT - film z zabiegu operacyjnego
Klasyfikacja TNM guzów pęcherza moczowego