Jednoczesna obustronna nefrostomia i cewniki DJ w moczowodach
Ponad dwa miesiące temu mojej Mamie zalożono cewnik DJ do lewego moczowodu. Podejrzewano kamień lecz nie znaleziono nic podczas zabiegu. Po około miesiącu z powodu bólów w prawej nerce, zalożono również cewnik DJ po prawej stronie. Niestety stan Mamy się pogorszył i z wodonerczem i stanem zapalnym trafiła do szpitala gdzie dołożono jej obustronną nefrostomię, po której mocz zaczął odpływac z nerek. Po kolejnych dwóch tygodniach Mama zaczęła gorączkować i z silnym stanem zapalnym znowu trafiła do szpitala - tym razem innego. Tu zatkano jej prawą nefrostomię (z lewej i tak już nic nie leciało). Od tamtej pory Mama oddaje mocz normalnie, z pęcherza. Bilans płynów i moczu się zgadza. Czy stan zapalny może być spowodowany zbyt wieloma ciałami obcymi czyli cewnikami i nefrostomią? Czy normalne jest wstawianie cewników DJ i nefrostomii? Mama uskarża się również na bóle w pęcherzu (silniejsze podczas oddawania moczu) i na bóle po bokach (w zależnosci czy Mama leży, czy siedzi).
Odpowiedź zespołu eUrologia.pl
W codziennej praktyce czasami dochodzi do sytuacji, że pacjent ma założone równocześnie dwa rodzaje drenażu. Założenie nefrostomii u pacjenta z cewnikiem DJ w moczowodzie konieczne jest w sytuacji gdy drenaż cewnikiem DJ jest niewystarczający. Po uzyskaniu niskociśnieniowego odpływu moczu z reguły rezygnuje się z jednego rodzaju drenażu. Nie wiemy jaka jest przyczyna wodonercza obustronnego u Pani matki. Warto w takim przypadku porozmawiać z urologiem na temat ewentualnego usunięcia któregoś z cewników. Nie znając stanu klinicznego pacjentki i obrazu badań obrazowych trudno wypowiadać się na temat usunięcia któregoś z cewników...

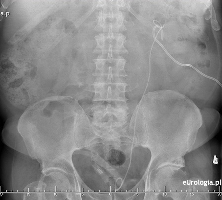
Fot. Zdjęcie przeglądowe jamy brzusznej pacjenta z założonym cewnikiem DJ i nefrostomią.
Polecane artykuły
Polecane filmy