Jednostronne powiększenie moszny - przyczyny
Pracuję w Belgii i nie mam dostępu do urologa. Od pewnego czasu zauważyłem, że moszna po prawej stronie jest wyraźnie powiększona. Nic mnie nie boli, ale ostatnio odczuwam, że jądro po stronie prawej jest cięższe od tego po lewej oraz twardsze. Co robić w takim przypadku oraz jaka może być przyczyna powiększenia moszny?
Odpowiedź zespołu eUrologia.pl
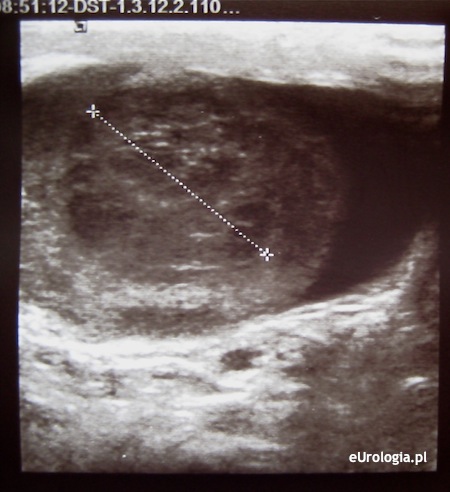
Jednostronne powiększenie moszny z wyczuwalną twardą zawartością jest jednym z najbardziej niepokojących objawów w urologii. Bez badania USG odpowiedź na Pana pytanie jest niemożliwa. Przyczyną powiększenia moszny w opisywanym przypadku może być guz jądra lub wodniak. Badanie USG moszny da odpowiedź jaka jest przyczyna powiększenia moszny. Proszę pilnie skontaktować się z jakimkolwiek lekarzem w Pana okolicy w celu wykonania takiego badania. Wodniak jądra jest zmianą łagodną i nie wymaga pilnej interwencji. Wykluczenie lub potwierdzenie guza jądra ma dla Pana kluczowe znaczenie. Więcej informacji można znaleźć w dziale: USG moszny. W razie problemów ze znalezieniem lekarza w Belgii prosimy o kontakt z redakcją.

Fot. Guz jądra - obraz ultrasonograficzny jądra lewego z guzem.
Polecane artykuły
Polecane filmy