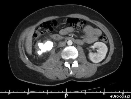
Kamica odlewowa - diagnostyka obrazowa kamicy odlewowej w tomografii komputerowej
Od kilku dni jestem diagnozowana w kierunku kamicy odlewowej nerki prawej. Diagnostyka rozpoczęta była od USG jamy brzusznej a potem wykonano mi urografię. Urografia nic nie wniosła. Czekam na termin tomografii komputerowej. Czy TK jest dobrym badaniem do diagnozowania kamicy odlewowej nerek?
Odpowiedź zespołu eUrologia.pl

Polecane artykuły
Polecane filmy