Leczenie torbieli miąższowych nerki
Mam 47 lat i na badaniu USG wykryto u mnie dwie torbiele w nerce. W opisie USG napisane jest: Torbiel miąższowa górnego bieguna nerki prawej o średnicy 15 milimetrów oraz torbiel w okolicy wnęki nerki o średnicy 13 milimetrów. Urolog, który wykonywał badanie stwierdził, że nie jest to nic istotnego i mogę przyjść na kontrolę za rok. Czy torbiel miąższowa może być obserwowana poprzez USG czy konieczna jest dodatkowa diagnostyka - tomografia lub rezonans? Jaka jest Państwa opinia na temat leczenia torbieli poprzez przezskórną punkcję?
Odpowiedź zespołu eUrologia.pl
Torbiele proste nerek występują u blisko 30% populacji. Torbielą prostą nazywa się cienkościenną przestrzeń płynową wypełnioną jednorodnym płynem. Podstawową metodą diagnostyczną w przypadku torbieli nerek jest badanie USG. W przypadkach wątpliwych lekarz może zdecydować o wykonaniu tomografii komputerowej lub rezonansu magnetycznego - podejrzenie nieprawidłowości w świetle torbieli.

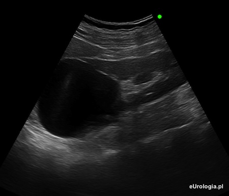
Fot. Torbiel prosta średnicy 57 mm w okolicy górnego bieguna lewej nerki - obraz w badaniu USG.
Torbiele proste nerek mogą mieć wielkość od kilku milimetrów do kilkunastu centymetrów i w większości przypadków nie wymagają żadnego leczenia. Wśród najczęstszych wskazań do wykonania punkcji torbieli wymienia się: ból lub uczucie ucisku spowodowane dużą objętością torbieli, zakażenie treści wewnątrz torbieli, dolegliwości kolkowe spowodowane uciskiem torbieli na moczowód, nadciśnienie tętnicze spowodowane niekorzystną lokalizacją torbieli. Więcej informacji można znaleźć w artykule: Torbiel nerki oraz Klasyfikacja Bosniaka torbieli nerek.
Polecane artykuły
Leczenie torbieli nerek
Diagnostyka obrazowa torbieli nerek
Polecane filmy