Meta do płuc u pacjenta z guzem nerki
Co oznacza określenie meta do płuc w przypadku pacjenta z guzem nerki? Mój ojciec jest po nefrektomii z powodu guza lewej nerki. Na wizycie lekarze mówili między sobą o meta do płuc. Co oznacza określenie meta bo według google jest o przerzut. Czy to oznacza, że ojciec ma przerzuty do płuc?
Odpowiedź zespołu eUrologia.pl
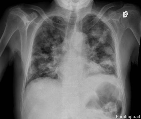
Określenie meta jest skrótem od łacińskiego słowa metastasis oznaczającego przerzut. Rozpoznanie przerzutów stawiane jest na podstawie zdjęcia RTG klatki piersiowej lub tomografii komputerowej klatki.

Fot. Przerzuty do płuc u pacjenta z guzem nerki.
Polecane artykuły
Polecane filmy