Czy tomografia komputerowa wykaże obecność nerki podkowiastej - jak wygląda nerka podkowiasta w CT
Czekam na tomografię komputerową jamy brzusznej - diagnostyka zmian metastatycznych w wątrobie i podejrzenie guza lewej nerki. W przeszłości podejrzewano u mnie nerkę podkowiastą - na podstawie urografii wykonanej po ataku kolki nerkowej kilka lat temu. Czy w tomografii będzie widoczne, że nerka jest podkowiasta? Czy operacja guza nerki podkowiastej 5 cm będzie możliwa?
Odpowiedź zespołu eUrologia.pl
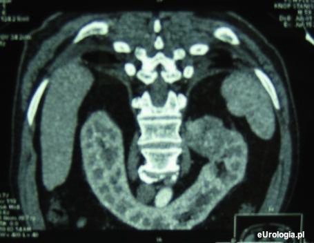
Nerka podkowiasta jest dobrze widoczna w tomografii komputerowej jamy brzusznej. O tym czy operacja guza jest możliwa powinien wypowiadać się lekarz, który zajmuje się pacjentem. Poniżej można zobaczyć jeden ze skanów tomograficznych nerki podkowiastej z guzem 5 cm górnego bieguna nerki lewej. Pacjentka została zoperowana - nefrektomia lewostronna.

Fot. Nerka podkowiasta z guzem górnego bieguna lewej nerki.
Polecane artykuły
Nerka podkowiasta - opis anatomiczny
Nerka podkowiasta - obraz urograficzny
Guz nerki podkowiastej - opis przypadku
Nefrektomia - operacja usunięcia nerki - opis zabiegu operacyjnego