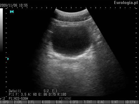
Pęcherz gładkościenny w badaniu USG
Z powodu pieczenia w czasie oddawania moczu dostałam skierowanie na badanie ogólne moczu i badanie ultrasonograficzne jamy brzusznej. W wyniku USG mam napisane: Obie nerki w położeniu typowym o prawidłowej echostrukturze, bez zastoju i ech złogów ponad 4mm. Pęcherz moczowy gładkościeny bez odbić wewnętrznych. Zalegania po mikcji nie stwierdza się.
Odpowiedź zespołu eUrologia.pl
W przytoczonym opisie USG lekarz nie stwierdził patologii pęcherza moczowego. Pęcherz w badaniu USG powinien być o gładkich ścianach. Dodatkowo nie stwierdzono zalegania moczu po mikcji co oznacza, że pęcherz opróznia się. Interpretacja wyniku badania USG powinna być ustalona w oparciu o wywiad i badanie przedmiotowe. Dalsze leczenie powinno być prowadzone pod kontrolą lekarza rodzinnego lub urologa.

Fot. Gładkościenny pęcherz moczowy - obraz ultrasonograficzny.
Polecane artykuły
Polecane filmy