Poszerzone UKM w pęcherzu neurogennym
Byłam ostatnio na USG Układu moczowego. W opisie mam napisane, że UKM obu nerek jest poszerzone przy napełnionym pęcherzem. Po oddaniu moczu napisane jest: Zastój w nerkach zmniejszył się. Co to oznacza? Dodam, że leczę pęcherz neurogenny.

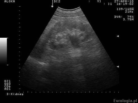
Fot. Poszerzony UKM w USG.
Odpowiedź zespołu eUrologia.pl
Poszerzone UKM u pacjenta z nadmiernie wypełnionym pęcherzem moczowym u pacjenta z pęcherzem neurogennym świadczą o wysokim ciśnieniu w pęcherzu moczowym, które powoduje utrudniony spływ moczu moczowodami lub cofanie się moczu do nerek. Sytuacja taka jest wyjątkowo niekorzystna i w przyszłości może przyczynić się do pogorszenia funkcji nerek. Zmniejszenie ciśnienia panującego w pęcherzu moczowym po mikcji spowodowało zmniejszenie zastoju w układzie kielichowo miedniczkowym - czyli łatwiejszy spływ moczu z nerki. W sytuacji przez Panią opisanej niedopuszcalne jest dopuszcanie do nadmiernego wypełnienia pęcherza moczowego.
Polecane artykuły
Polecane filmy