Przerost piramidy środkowej nerki - co to oznacza
W badaniu USG nerki lewej - zwraca uwagę przerost piramidy środkowej o maksymalnej średnicy 37 mm. Powiększona piramida nerkowa o niejednorodnej strukturze - co to oznacza i co należy dalej robi?
Odpowiedź zespołu eUrologia.pl
Piramida nerkowa jest częścią strukturalną rdzenia nerki. Nazwa pochodzi od kształtu przypominającego piramidę. Na szczycie każdej piramidy znajduje się brodawka nerkowa, którą mocz spływa do układu kielichowo miedniczkowego. Piramidy nerkowe zbudowane są z kanalików nerkowych i występują w liczbie 10 - 20 w każdej z nerek.

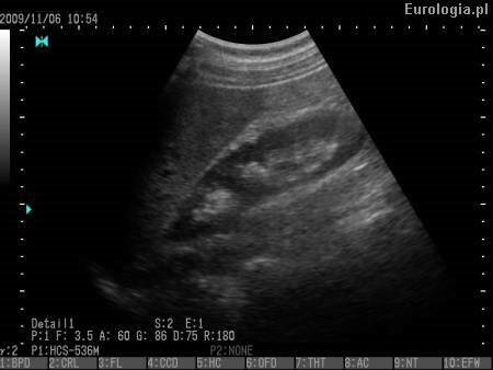
Fot. USG jamy brzusznej - prawidłowy obraz prawej nerki.
Lekarz wykonujący badanie USG powinien dać Pani jasną odpowiedź co dalej robić z takim obrazem piramidy nerkowej. W większości przypadków zaleca się USG kontrolne po kilku miesiącach lub tomografię komputerową celem różnicowania przerośniętej piramidy z guzem nerki. Dodatkowo polecamy przeczytanie artykułu: Przerost piramidy nerkowej czy guz nerki.
Polecane artykuły
Polecane filmy