Przyczyny zwapnień w prostacie
Na przypadkowym badaniu USG lekarz zauważył zwapnienie prostaty, pytał o ból brzucha przy oddawaniu moczu czy erekcji, ale takich nie zauważyłem. Mam 23 lata i jedyne co zauważyłem, że czasem muszę trochę poczekać przy oddawaniu moczu, myślałem, że jest to spowodowanie tylko względami psychologicznymi bo pierwszy raz zdarzyło mi się tak w publicznej toalecie (myślałem, że nie mogę się skupić, czy że jestem przytłoczony) i miałem tak kilka razy, a w domu zwykle oddaję mocz bez dłuższego czekania, nie muszę oddawać częściej niż wcześniej. Dodam, że jestem dość mocno aktywny seksualnie a badanie miało miejsce też po stosunku.
Odpowiedź zespołu eUrologia.pl
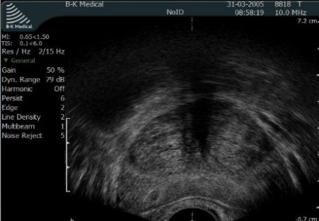
Zwapnienia w gruczole krokowym są często opisywane przez radiologów wykonujących badanie USG jamy brzusznej. Ocena echogeniczności gruczołu krokowego w badaniu wykonywanym głowicą convexową (głowica służąca do badań ultrasonograficznych jamy brzusznej) jest niemiarodajna i nie wnosi nic do diagnostyki. Wielokrotnie u młodych, bezobjawowych mężczyzn obserwuje się hiperechogenne odbicia w obrębie gruczołu krokowego, które mogą być mylnie interpretowane jako zwapnienia.

Fot. Przekrój poprzeczny gruczołu krokowego - obraz w transrektalnym USG.
W zadanym przez Pana pytaniu nie pisze Pan aby występowały u Pana jakiekolwiek objawy sugerujące stan zapalny gruczołu krokowego więc nie ma powodów do niepokoju. W razie jakichkolwiek wątpliwości należy zgłosić się do urologa.
Polecane artykuły
Polecane filmy