Rak prostaty Gleason 3+3=6
Odebrałam wynik histopatologiczny męża z biopsji gruczołu krokowego wykonanej z powodu podejrzenia raka gruczołu krokowego. Niestety wynik jest pozytywny - Adenocarcinoma prostatae - Gleason 3+3=6. Jakie opcje leczenia może zaproponować lekarz? Mąż jest starszy ode mnie i wtej chwili ma 70 lat. Wynik PSA przed biopsją gruczołu krokowego wynosił 5 ng/ml. Czy operacja usunięcia prostaty w przypadku takiego wyniku histopatologicznego wchodzi w rachubę?
Odpowiedź zespołu eUrologia.pl

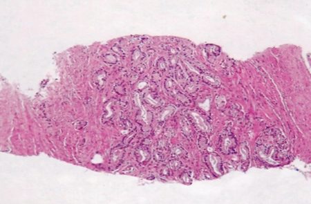
Fot. Rak gruczołu krokowego - suma Gleasona 3+3=6.
Polecane artykuły
Skala Gleasona - histopatologia raka gruczołu krokowego
Rak gruczołu krokowego - informacje ogólne
Prostatectomia radicalis - prostatektomia radykalna w przypadku raka gruczołu krokowego
Hormonoterapia raka gruczołu krokowego