Rozpoznanie ropnia gruczou krokowego
W jaki sposób rozpoznaje się ropień prostaty? Jakie badania należy wykonać, aby rozpoznać ropień gruczołu krokowego? Czy brak efektu po 14 dniach antybiotykoterapii zapalenia prostaty i gorączka 40 stopni mogą być spowodowane ropniem gruczołu krokowego?
Odpowied zespołu eUrologia.pl
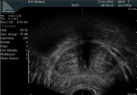
Objawy, które pan opisuje mogą być spowodowane ropniem gruczołu krokowego. Aby postawić rozpoznanie ropnia konieczne jest wykonanie transrektalnego USG gruczołu krokowego.

Fot. Przekrój poprzeczny gruczołu krokowego w USG transrektalnym.
Polecane artykuły
Polecane filmy