Ropień przestrzeni zaotrzewnowej - leczenie
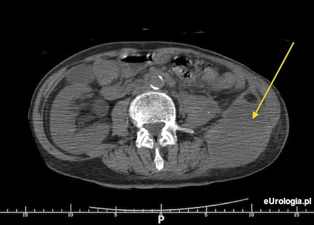
Mój mąż od kilku dni miał gorączkę do 39 stopni i leczony był przez lekarza rodzinnego antybiotykiem. Po kilku dniach leczenia pomimo braku efektu zlecono mężowi wykonanie USG jamy brzusznej. W USG rozpoznano rozległy ropień przestrzeni zaotrzewnowej w miejscu po usuniętej nerce. 5 lat temu mąż miał usuniętą nerkę z powodu roponercza i kamic odlewowej. Przed usunięciem nerki miał na nią kilka operacji kamicy nerkowej. Wczoraj mąż został przyjęty do oddziału urologicznego. Jak postępuje się w przypadku ropnia przestrzeni zaotrzewnowej? Na czym polega leczenie ropnia przestrzeni zaotrzewnowej i czy jest konieczne leczenie operacyjne? Mąż jest bardzo schorowany i boję się, że nie przeżyje kolejnej operacji.
Odpowiedź zespołu eUrologia.pl

Polecane artykuły
Polecane filmy