Kamica nerkowa - ESWL czy PCNL - która metoda jest lepsza
Bardzo proszę o informację czy w moim przypadku wskazane jest rozkruszanie kamieni, czy konieczny będzie zabieg PCNL. Badanie jamy brzusznej Tomografem Komputerowym wykazało, że: mam liczne uwapnione złogi w nerce lewej - w kielichu środkowym złóg 9mm i dwa złogi po 4mm, w kielichu dolnym skupiska drobnych, licznych złogów. W nerce prawej uwapnionych kontrementów nie uwidoczniono. Zdwojenie UKM nerki lewej z podwójnym moczowodem po tej stronie. Ewentualna fuzja obu moczowodów nie została potwierdzona w zakresie badania. Górna część nerki lewej wielkości 65x83mm, dolna - 107x62mm. Nerka prawa wielkości 108 x 56mm. Torbiel korowa nerki lewej 10x9mm. Wczesny podział obu tętnic nerkowych. Pozostałe narządy w granicach normy. czy jest możliwość rozkruszenia kamieni w ESWL?
Odpowiedź zespołu eUrologia.pl
Wybór metody uzależniony jest od anatomii miedniczki nerkowej i moczowodów. Bez znajomości budowy nerki i moczowodów wydaje się, że PCNL jest korzystniejszym sposobem usunięcia złogów z nerki. ESWL mimo swojej dużo mniejszej inwazyjności niesie ze sobą ryzyko powikłań w postaci kamicy moczowodowej co w przypadku zdwojonego moczowodu może czasami stanowić pewien problem. Jeśli moczowody są podwójne wówczas należy zastanowić się nad wykonaniem ESWL. Zarówno PCNL i ESWL w Pana przypadku mają swoje wady jak i zalety a decyzja o metodzie leczenia uzależniona jest od warunków anatomicznych i doświadczenia operatora.

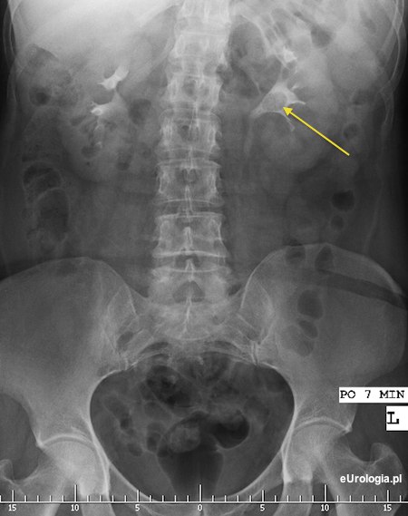
Fot. Złóg 12 mm w miedniczce nerki lewej - obraz urograficzny.
Polecane artykuły
Polecane filmy