Rozpoznanie guza pęcherza na podstawie USG
Czy badanie USG pęcherza jest wystarczające do postawienia diagnozy: Guz pęcherza moczowego? Jestem po USG brzucha z powodu krwi w moczu. Badanie było wykonane przez lekarza rodzinnego, który mi powiedział, że mam guz w pęcherzu i dał mi skierowanie do poradni urologicznej.
Odpowiedź zespołu eUrologia.pl
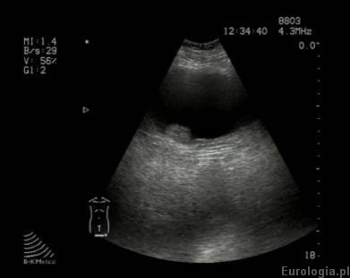
Badanie USG pozwala na rozpoznanie większości guzów pęcherza o wielkości powyżej 10 mm. Nieprawidłowy obraz USG - podejrzenie guza pęcherza upoważnia lekarza do takiego rozpoznania. W zależności od oceny ultrasonograficznej urologa pacjent może być zakwalifikowany do cystoskopii - wziernikowania pęcherza moczowego lub TURT - przezcewkowej resekcji guza jeśli obraz USG ewidentnie budzi podejrzenie choroby nowotworowej.

Fot. Guz okolicy ujścia prawego moczowodu - obraz USG.
Polecane artykuły
Polecane filmy