Rozpoznanie raka jądra na podstawie USG
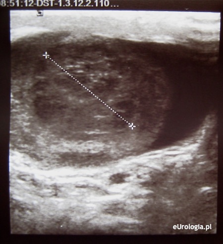
Mam powiększone jądro po lewej stronie. W badaniu USG wyszło, że w dolnym biegunie jądra jest niejednorodny obszar średnicy 20 mm z patologicznym unaczynieniem. Czy na podstawie badania USG wiadomo już, że mam raka jądra? Czy przy prawidłowych markerach można mieć raka jądra?
Odpowiedź zespołu eUrologia.pl
Rozpoznanie raka jądra stawiane jest na podstawie wyniku histopatologicznego preparatu z orchidektomii czyli po usunięciu jądra. Nieprawidłowy obraz ultrasonograficzny jądra może nasuwać podejrzenie raka. Konieczna jest pilna konsultacja urologiczna. Więcej informacji można znaleźć w dziale: Rak jądra - diagnostyka.

Fot. Nasieniak jądra - obraz USG
Polecane artykuły
Polecane filmy