Torbiel dolnego bieguna nerki - leczenie
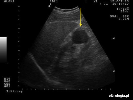
W okolicy dolenego bieguna nerki prawej w badaniu USG mam opisywane dwie torbiele wielkości 1 i 2 centymetrów. We wnioskach z badania USG mam napisane: Torbiele proste nerki prawej. Czy takie torbiele wymagają jakiegoś leczenia tabletkami lub operacyjnego? Radiolog na moje pytanie odpowiedział, że taka jest uroda nerki.

Fot. Obraz USG torbieli dolnego bieguna prawej nerki.
Odpowiedź zespołu eUrologia.pl
Torbiele proste o takich rozmiarach w okolicy dolnego bieguna nerki nie wymagają leczenia. W zupełności wystarczy coroczna kontrola w badaniu USG jamy brzusznej.
Polecane artykuły
Diagnostyka obrazowa torbieli nerek
Torbiel prosta nerki - podstawowe informacje
Badanie USG jamy brzusznej