UKM nerki prawej zastoinowo poszerzony - co to znaczy?
Mam zatsoinowo poszerzony UKM w badaniu USG. Dodatkowo w badaniach krwi mam następujące wyniki. Co oznacza zastoinowe poszerzenie UKM nerki? Badania: MXD 15,1 neutrocyty 41,6, MXD 15,3, BAS 0,02, NEU 46,5 EOS 6,9, MXD 13,0, LYM 57, EGFR 55,22 a następny wynik 92,3, w posiewie moczu enterococcus species 10 do 2, pałeczki gram ujemne 10 do 2, kreatynina 95,6.
Odpowiedź zespołu eUrologia.pl
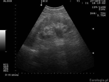
Zastoinowo poszerzony UKM oznacza, że obraz układu kielichowo - miedniczkowego nerki sugeruje obecność utrudnionego spływu moczu z nerki do pęcherza moczowego. Obraz kliniczny oraz wywiad od pacjenta stanowią podstawę do ewentualnej dalszej diagnostyki. O przyczynach poszerzenia UKM można przeczytać w artykule: Poszerzenie UKM - przyczyny. Należy pamiętać, że zastoinowo poszerzony UKM w USG nie zawsze spowodowany jest przez utrudniony spływ moczu z nerki. Czasami torbiele pola centralnego nerki imitują zastój moczu w badaniu USG. Podstawowym badaniem wykonywanym w diagnostyce poszerzenia układu kielichowo - miedniczkowego jest urografia.

Fot. Poszerzony UKM u pacjenta z kolką nerkową - obraz USG prawej nerki.
Polecane artykuły
Polecane filmy