Diagnostyka ultrasonograficzna gruczołu krokowego
Ultrasonografia - USG jest nieinwazyjną metodą diagnostyczną umożliwiającą uzyskanie obrazu przekroju badanej struktury w ciele człowieka. USG jest najczęsciej wykorzystywanym badaniem obrazowym w diagnostyce wszystkich schorzeń jamy brzusznej. USG przezbrzuszne i USG transrektalne są podstawowymi badaniami wykorzystywanymi w diagnostyce schorzeń gruczołu krokowego (łac. prostata).
Prostata - inaczej gruczoł krokowy lub stercz jest narządem zlokalizowanym poniżej pęcherza moczowego w bezpośrednim sąsiedztwie z odbytnicą. Najczęściej wykonywanym badaniem ultrasonograficznym w diagnostyce gruczołu krokowego jest badanie przezbrzuszne (TAUS - transabdominal ultrasound). W celu dokładnej oceny gruczołu krokowego lub pobrania wycinków ze strecza wykonuje się badanie z wykorzystaniem głowicy transrektalnej (TRUS - transrectal ultrasound).
Anatomia ultrasonograficzna gruczołu krokowego
Do oceny ultrasonograficznej gruczołu krokowego wykorzystywane jest głowica transrektalna. USG wykonane głowicą convexovą przez powłoki brzuszne może być wykorzystane wyłącznie w celu oceny wielkości gruczołu krokowego. Transrektalne USG pozwala na ocenę wielkości gruczołu, echostruktury poszczególnych stref, ocenę ciągłości torebki stercza i pęcherzyków nasiennych.
Badanie przezbrzuszne gruczołu krokowego (TAUS)
USG przezbrzuszne gruczołu krokowego wykonywane jest w celu oceny jego objętości i określenia objętości moczu zalegającego po mikcji. Badanie wykonywane jest głowicą do badań jamy brzusznej (głowica convex o częstotliwości od 3 - 5 MHz.

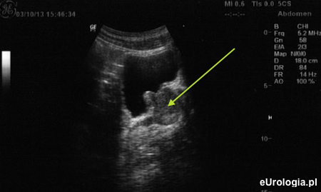
Fot. Obraz USG przezbrzusznego - przekrój strzałkowy. Gruczoł krokowy zaznaczony zieloną strzałką. Na zdjęciu widoczny jest płat środkowy (3 płat) wpuklający się do światła pęcherza moczowego.
Dokładna ocena echostruktury prostaty, ciągłości torebki i pęcherzyków nasiennych nie jest możliwa za pomocą przezbrzusznego USG. Podstawowym warunkiem oceny stercza w USG jest dobre wypełnienie pęcherza moczowego. Pacjenci przygotowani do badania USG prostaty przez powłoki brzuszne powinni powstrzymać się od oddawania moczu bezpośrednio przed badaniem. U pacjentów z założonym cewnikiem do pęcherza moczowego (cewnik Foley’a założony przez cewkę moczową lub cystostomię) zamyka się cewnik przed badaniem lub wypełnia pęcherz roztworem soli fizjologicznej. Po zakończeniu oceny gruczołu krokowego pacjent proszony jest o oddanie moczu, po którym ocenia się objętość zalegającego moczu w pęcherzu moczowym (PVR - Post-Void Residual).
Badanie transrektalne gruczołu krokowego (TRUS)
Przezodbytnicza ultrasonografia gruczołu krokowego pozwala na precyzyją ocenę gruczołu krokowego oraz ocenę struktur bezpośrednio z nim sąsiadujących. Badanie wykonywane jest w pozycji leżącej na lewym boku i nie jest konieczne dobre wypełnienie pęcherza moczowego. Niewielka ilość moczu w pęcherzu poprawia jakość oceny sąsiadujących z prostatą struktur. Część lekarzy wymaga wykonania lewatywy bezpośrednio przed badaniem. W aptekach dostępne są gotowe preparaty np. Rectanal lub ENEMA.

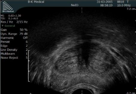
Fot. Przekrój poprzeczny gruczołu krokowego widziany w transrektalnym USG.
Po ułożeniu pacjenta lekarz wprowadza do odbytnicy specjalną głowicę ultrasonograficzną - głowica transrektalna. Badanie jest dobrze tolerowane przez pacjentów i nie wymaga znieczulenia innego niż miejscowe żelem lignociainowym.
Wskazaniem do transrektalnego USG gruczołu krokowego jest nieprawidłowy wynik badania palcem przez odbytnicę (wzmożona konsystencja gruczołu, asymetria płatów, wyczuwalny guzek w obrębie płata) lub podwyższone stężenie PSA (swoisty antygen sterczowy). Transrektalne USG może być wykonane w celu dokładnej oceny objętości stercza u pacjentów kwalifikowanych do leczenia operacyjnego, u pacjentów diagnozowanych z powodu niepłodności, podejrzeniem ropnia stercza lub u pacjentów z podejrzeniem zapalenia prostaty. Pacjenci z rakiem gruczołu krokowego mogą być zakwalifikowani do transrektalnego USG w celu oceny miejscowego stopnia zaawansowania przed rozpoczęciem radioterapii.
Określenie wielkości gruczołu krokowego w badaniu USG
Sposób pomiaru objętości prostaty jest taki sam zarówno w badaniu przezbrzusznym jaki przezodbytniczym. W celu określenia objętości stercza oblicza się wysokość (H), szerokość (W) i długość (L) gruczołu krokowego. Aparat ultrasonograficzny automatycznie oblicza objętość ze wzrou:
V = W x H x L x 0,523
Wynik pomiaru objetości podawany jest w ml lub centymetrach sześciennych. Wielkość gruczołu krokowego i objętość zalegającego moczu po mikcji ma podstawowe znaczenie w kwalifikacji pacjenta do leczenia zabiegowego w przypadku łagodnego przerostu gruczołu krokowego.
Prawidłowe wymiary gruczołu krokowego
Gruczoł krokowy jest narządem wielkości i kształtu przypominającym orzech włoski, którego objętość nie przekracza 20-25 ml.
Objętość prostaty - poniżej 25 ml
Szerokość gruczołu krokowego w projekcji poprzecznej - poniżej 45 mm (W)
Długość gruczołu w projekcji strzałkowej - poniżej 35 mm (L)
Wysokość prostaty - poniżej 33 mm (H)