Urografia - duży złóg w dolnym odcinku prawego moczowodu

Zdjęcie przeglądowe nerek i pęcherza - cień wpaienny w miednicy po stronie prawej o wymiarach 20x10 mm

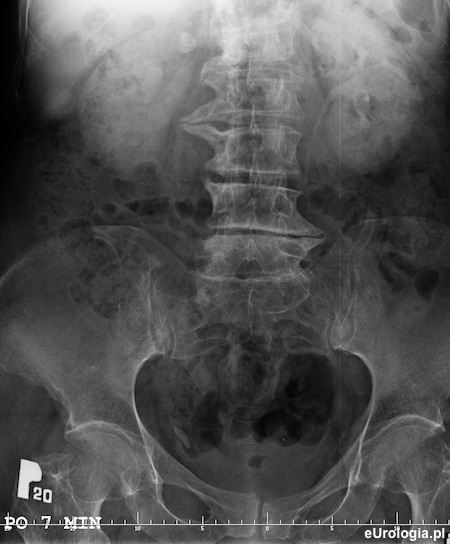
Zdjęcie urograficzne po 7 minutach - nefrogram po stronie prawej. Zakontrastowany UKM lewej nerki i lewy moczowód

Wodonerczowato poszerzony UKM prawej nerki i moczowód prawy aż do opisywanego cienia - złóg w dolnym odcinku prawego moczowodu

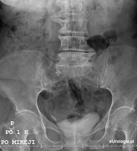
Zdjęcie wykonane godzinę po mikcji - zakontrastowany mocz w pęcherzu moczowym. Cień wapienny 20x10 mm będący złogiem w dolnym odcinku prawego moczowodu.

Kamień w dolnym odcinku prawego moczowodu - cień wapienny w miednicy małej widoczny na zdjęciu przeglądowym nerek i pęcherza.