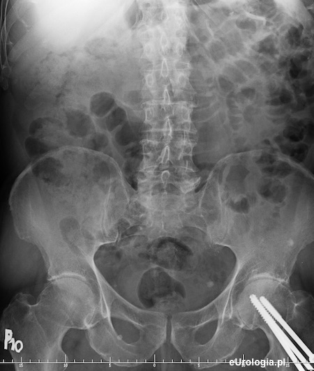
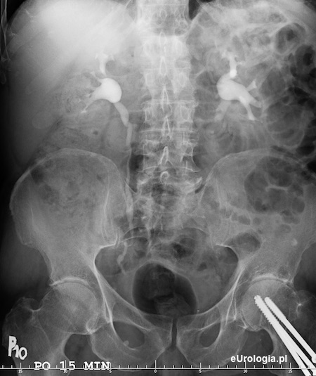
Urografia - kamica dolnego odcinka lewego moczowodu

Zdjęcie przeglądowe wykonywane przed podaniem kontrastu - cień wapienny w miednicy małej mogący być złogiem w dolnym odcinku lewego moczowodu

Zdjęcie urograficzne wykonane po 15 minutach - widoczne zakontrastowanie układów kielichowo-miedniczkowych obu nerek oraz górny i środkowy odcinek prawego moczowodu

Cystogram przesłoniety przez gaz w jelicie grubym. Widoczne zakontrastowanie dolnego odcinka lewego moczowodu