Wodonercze - łac. hydronephrosis
Wodonercze - łac. hydronephrosis oznacza znaczne poszerzenie układu kielichowo - miedniczkowego nerki z wtórnym zanikiem warstwy miąższowej. W życiu codziennym określenia wodonercze używa się do określenia poszerzenia UKM stwierdzonego w badaniach obrazowych. Powstanie wodonercza spowodowane jest utrudnionym odpływem moczu.
Przyczyny powstawania wodonercza
przeszkoda anatomiczna w odpływie moczu - przeszkoda może być zlokalizowana w układzie moczowym lub poza nim. Wśród przyczyn wodonercza wymienia się : wysokie odejście moczowodu z miedniczki, naczynia dodatkowe krzyżujące górny odcinek moczowodu, ucisk z zewnątrz, kamica moczowodowa, nowotwory moczowodu, nowotwory pęcherza moczowego, rak stercza, zaawansowany przerost gruczołu krokowego, nowowotwory narządu rodnego u kobiet, zwężenia moczowodu - wrodzone, pourazowe, pozapalne.
przeszkoda czynnościowa w odpływie moczu - zaburzona budowa i czynność mięśni zlokalizowanych w obrębie połączenia miedniczkowo - moczowodowego powodująca utrudnione przechodzenie fali perystaltycznej.
W jaki sposób rozpoznaje się wodonercze ?
Wodonercze rozpoznawane jest na podstawie badań obrazowych. Badanie USG jamy brzusznej jest podstawowym badaniem obrazowym w diagnostyce wodonercza. W badaniu USG określany jest stopień zastoju moczu w UKM - wymiar przednio - tylny miedniczki i grubość warstwy miąższowej - kory nerki. Do obrazowania wodonercza oprócz ultrasonografii wykorzystuje się także tomografię komputerową, urografię i rezonans magnetyczny. Scyntygrafia jest badaniem, które pozwala ocenić czynność nerki. W czasie badania pacjent otrzymuje dożylnie radioaktywny znacznik a następnie ocenia się szybkość jego wydalania przez nerki.
Wybór badania zależy od sytuacji klinicznej i możliwości diagnostycznych ośrodka.

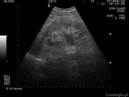
Fot. Wodonercze - obraz w USG

Fot. Wodonercze lewostronne - urografia

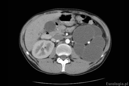
Fot. Wodonercze lewostronne - tomografia komputerowa
Leczenie wodonercza
Najważniejszą kwestią przed kwalifikacją pacjenta do leczenia jest ustalenie przyczyny powodującej utrudniony odpływ moczu z układu kielichowo - miedniczkowego nerki. Kolejną sprawą jest wyjaśnienie charakteru wodonercza - przewlekłe czy ostre. W przypadku pacjentów z zaawansowaną chorobą nowotworową miednicy małej, u których rozpoznaje się wodonercze z narastaniem parametrów nerkowych konieczne jest odbarczenie nerki przez założenie nefrostomii. U pacjentów z kolką nerkową w przbiegu kamicy moczowodowej konieczne bywa założenie cewnika moczowodowego lub cewnika D-J.
Czy jest możliwość zdiagnozowania wodonercza u płodu ?
Tak, jest możliwość zdiagnozowania wodonercza u płodu. Najczęściej wykonywanym badaniem jest USG prenatalne, w którym ocenia się budowę nerek u płodu.