Wodonercze w ciąży - przyczyna
Mam 27 lat i zdiagnozowano u mnie wodonercze w ciąży. Jest to moja druga ciąża. Od kilku dni miałam bóle nerki. W USG wykryto, że mam wodonercze i skierowano do urologa. Czy wodonercze w czasie ciąży to coś groźnego? Jakie są nakczęstsze przyczyny wodonercza u kobiet w ciąży?
Odpowiedź zespołu eUrologia.pl
Diagnostyka przyczyn wodonercza u kobiety ciężarnej jest mocno ograniczona ze względu na potencjalną szkodliwość dla rozwoju płodu. U pacjentki w ciąży nie dąży się do ustalenia przyczyny wodonercza tylko ocenia się czy wymaga ono odbarczenia. Najczęstszą przyczyną wodonercza u ciężarnych jest wpływ progesteronu na mięśniówkę moczowodów oraz ucisk na moczowody przez powiększającą się macicę z płodem. Kolejną co do częstości przyczyną wodonercza u ciężarnych jest kamica moczowodowa i zwężenie połączenia miedniczkowo - moczowodowego. W razie konieczności wodonercze odbarcza się zakładając cewnik DJ lu nefrostomię.

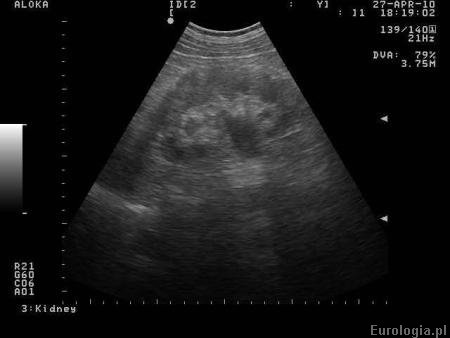
Fot. Prawostronne wodonercze u pacjentki w 29 tygodniu ciąży.
W przypadku gdy wodonercze nie ustąpi po połogu wskazana jest dalsza diagnostyka urologiczna.
Polecane artykuły
Polecane filmy