Zaleganie moczu w pęcherzu - jak ocenić
Jakie są sposoby na ocenę zalegania moczu po mikcji? Na ostatniej wizycie u urologa nie byłem w stanie oddać moczu. Urolog powiedział, że mam na przyszłą wizytę przyjść z pustym pęcherzem moczowym to wtedy będzie mógł ocenić czy mam zaleganie po mikcji. Jakie badania wykonuje się aby ocenić zaleganie? czy konieczne jest zakładanie cewnika?
Odpowiedź zespołu eUrologia.pl
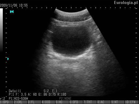
Zaleganie moczu po mikcji - PVR określa się za pomocą ultrasonografii. Po oddaniu moczu lekarz badaniem USG oceni czy w pęcherzu pozostaje mocz. W zależności od wyniku zaproponuje Panu dalsze leczenie.

Fot. Pęcherz moczowy - obraz USG.
Więcej informacji na temat ultrasonografii w diagnostyce układu moczowego można znaleźć w dziale: USG układu moczowego. Ocena zalegania moczu przy użyciu cewnika jest metodą historyczną.
Polecane artykuły
Polecane filmy