Zastój moczu w badaniu USG nerki
Wczoraj urolog poprzez USG zdiagnozował u mnie zastój nerki. Zalecił stosować ROWATINEX 3x1 i po miesiącu wykonać następne USG. Jeśli nie będzie postępu - to szpital i diagnostyka co jest przyczyną zastoju. Czy można z tym problemem bez konsekwencji czekać miesiąc? Co to jest zastój nerki?

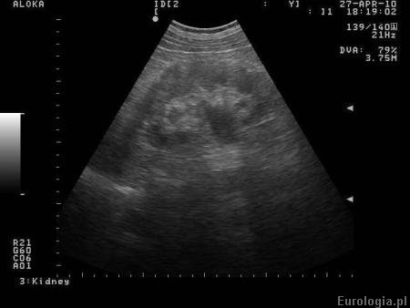
Fot. Poszerzony UKM nerki prawej w badaniu USG.
Odpowiedź zespołu eUrologia.pl
Zastój moczu w USG nerki oznacza, że obraz ultrasonograficzny sugeruje poszerzenie układu kielichowo - miedniczkowego nerki. UKM czyli układ zbiorczy zbudowany jest z systemu kielichów nwerkowych i miedniczki nerkowej. W warunkach prawidłowych UKM jest nieposzerzony. Zastój moczu wymaga weryfikacji w badaniach obrazowych w celu ustalenia przyczyny. Nie wiemy jakiego stopnia jest zastój oraz czy ma Pani jakiekolwiek dolegliwości. Nie wiemy co może być prawdopodobną przyczyną zastoju (zastosowanie Rowatinexu) sugeruje etiologiękamiczą) więc należy zaufać urologowi, który osobiście Panią zbadał i stwierdził, że 4 tygodnie nie wpłyną istotnie na funkcję nerki.
Polecane artykuły
Anatomia nerek
Poszerzony UKM
Kamica moczowodowa - diagnostyka i leczenie
Polecane filmy