Kamica pęcherza moczowego - Galeria

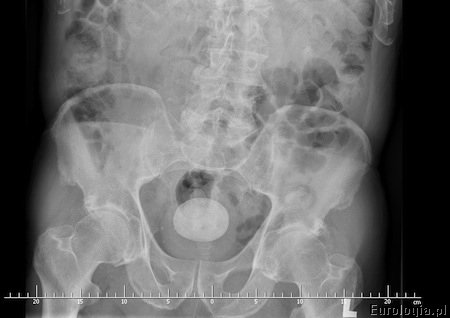
Fot. Zdjęcie rentgenowskie z widocznym złogiem w pęcherzu moczowym

Fot. USG pęcherza z widocznym echem złogu

Fot. Zdjęcie RTG z widocznym złogiem w pęcherzu moczowym

Fot. Kamień moczowy usunięty z pęcherza podczas operacji usunięcia gruczolaka stercza z powodu BPH

Fot. Kamień moczowy usunięty z pęcherza podczas operacji usunięcia gruczolaka stercza z powodu BPH

Fot. Kamień moczowy usunięty z pęcherza podczas operacji usunięcia gruczolaka stercza z powodu BPH

Fot. Kamień moczowy usunięty z pęcherza podczas operacji usunięcia gruczolaka stercza z powodu BPH
Fot. Kamień moczowy usunięty z pęcherza podczas operacji usunięcia gruczolaka stercza z powodu BPH
Fot. Kamień moczowy usunięty z pęcherza podczas operacji usunięcia gruczolaka stercza z powodu BPH