Powikłania łagodnego przerostu gruczołu krokowego
Rozrastajacy się gruczolak stercza u pacjentów z łagodnym przerostem gruczołu krokowego w miarę upływu czasu może prowadzić do wielu powikłań. Powiększający się gruczoł krokowy uciska cewkę moczową powodując zwężenie jej światła co przekłada się na wzrost ciśnienia koniecznego do wyparcia moczu z pęcherza moczowego. Rozciągające się włókna mięśnia wypieracza w miarę upływu czasu tracą możliwość skutecznego kurczenia się.
Długotrwała przeszkoda podpęcherzowa w postaci gruczolaka stercza powoduje pogrubienie włókien mięśnia wypieracza i powstanie uchyłków rzekomych. Nasilające się procesy degeneracyjne powodują z czasem włóknienie w obrębie mięśnia wypieracza bardzo często obserwowane w postaci wzmożonego beleczkowania pęcherza moczowego. W miarę upływu czasu pogrubiała ściana pęcherza moczowego z czasem ulega ścieńczeniu a pęcherz stoje się wiotki i nadmiernie rozciągnięty.
Wysokie ciśnienie panujące wewnątrz pęcherza powoduje wpychanie śluzówki pomiędzy włókna mięśnia wypieracza co skutkuje powstaniem uchyłków rzekomych pęcherza moczowego. Zaleganie moczu w pęcherzu przyczynia się do zakażenia moczu i powstania kamicy pęcherza moczowego.

Fot. Ściana pęcherza moczowego ze wzmożonym beleczkowaniem i drobnymi uchyłkami rzekomymi u pacjenta z BPH.
Zatrzymanie moczu - łac. retentio urinae jest stanem, w którym oddanie moczu jest niemożliwe pomimo mocno wypełnionego pęcherza moczowego z towarzyszącym uczuciem parcia na mocz. Zatrzymanie moczu może wystąpić u każdego pacjenta z łagodnym przerostem gruczołu krokowego niezależnie od wielkości gruczołu.
Nietrzymanie moczu obserwowane u pacjentów z BPH może być wynikiem nietrzymania z przepełnienia - łac. Ischiuria paradoxa lub jest skutkiem niestabilności wypieracza w wyniku narastającej przeszkody podpęcherzowej w postaci gruczolaka.
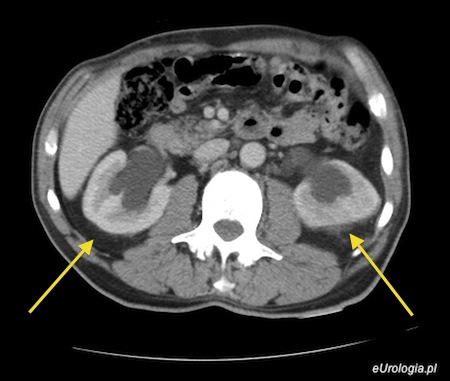
Powiększający się gruczolak stercza powoduje unoszenie trójkąta pęcherza moczowego co skutkuje uciskiem śródściennych odcinków moczowodów. Ucisk na moczowody przyczynia się do powstania utrudnionego odpływu moczu z nerek co często objawia się poszerzeniem UKM w badaniu ultrasosnograficznym. Czasami u pacjentów z zaawansowanym przerostem gruczołu krokowego obserwuje się odpływy pęcherzowo - moczowodowe objawiające się cofaniem się moczu z pęcherza do moczowodów i układów zbiorczych nerek. Utrzymujący się odpływ pecherzowo moczowodowy i większone ciśnienie w układach zbiorczych nerek prowadzą z czasem do powstania pozanerkowej niewydolności nerek.

Fot. Przerost gruczołu krokowego z wtórnym wodonerczem obustronnym - skan z tomografii komputerowej.
Zaleganie moczu po mikcji przyczynia się do powstania przewlekłej infekcji pęcherza moczowego i zwiększa ryzyko wystąpienia kamicy pęcherza.
Częstym powikłaniem u pacjentów z łagodnym przerostem gruczołu krokowego jest krwiomocz czyli krwiste zabarwienie moczu spowodowane domieszką krwi. Zdarza się, że krwawienie z gruczołu krokowego jest tak intensywne, że wymaga przetaczania krwi i interwencji urologicznej - koagulacji.
Polecany artykuł