Usunięcie nerki wraz z nadnerczem i otaczającą tkanką tłuszczową - Nefrektomia radykalna z powodu guza nerki
Przezotrzewnowa nefrektomia - operacja usunięcia nerki z dostępu przezotrzewnowego
Nefrektomia jest operacją polegającą na chirurgicznym usunięciu nerki. Zabieg może być wykonywany z dostępu przezotrzewnowego lub pozaotrzewnowego. Dostęp przezotrzewnowy jest preferowany w przypadku nefrektomii radykalnej z powodu guza.
Usunięcie nerki z dostępu przezotrzewnowego
Nefrektomia jest operacją polegającą na usunięciu nerki oraz nadnercza wraz z otaczającą tkanką tłuszczową. Usunięcie nerki jest leczeniem z wyboru w przypadku guzów nerki w stadium I, II i III według klasyfikacji TNM guzów nerki. Operacja wykonywana jest w znieczuleniu ogólnym w warunkach bloku operacyjnego. Operacja jest stosowana w leczeniu guzów nerki, których rozmiary nie pozwalają na operację nerkooszczędzającą - NSS. Ponad 90% guzów nerki to rak jasnokomórkowy - Carcinoma clarocellulare - RCC dlatego nefrektomia jest leczeniem z wyboru w przypadku podejrzenia nowotworu złośliwego.
W 2010 roku zarejestrowano około 4000 pacjentów, u których rozpoznano raka jasnokomórkowego nerki. Zdecydowana większość guzów była wykryta przypadkowo w czasie USG lub tomografii komputerowej jamy brzusznej. W przeszłości guzy nerki wykrywane były z reguły na podstawie triady objawów : wyczuwalny guz, ból okolicy lędźwiowej i krwiomocz. Pojawienie się triady zawsze świadczy o znacznym zaawansowaniu choroby.
Kwalifikacja pacjenta do operacju usunięcia nerki z powodu guza
Nefrektomia jest leczeniem z wyboru u pacjentów z guzem, który w badaniu tomograficznym sugeruje zmianę złośliwą. Najczęściej stwierdzanymi zmianami w obrębie guza są wzmożony przepływ krwi, patologiczne unaczynienie i rozpad wewnątrz guza. Nefrektomia jest dużym zabiegiem onkologicznym, który wymaga szczegółowego przygotowania przed operacją. Pacjent kwalifikowany jest do operacji przez anestezjologa - lekarza, który odpowiada za znieczulenie pacjenta. W dniu poprzedzającym zabieg obowiązuje dieta ścisła z ograniczeniem wypijanych płynów na noc. Rano przed operacją brzuch pacjenta jest golony jednorazową maszynką przez pielęgniarkę.

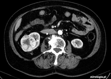
Fot. Skan z tomografii komputerowej przedstawiający 8 cm guz prawej nerki
Nefrektomia- operacja usunięcia nerki - dzień operacji
Po przywiezieniu na blok operacyjny pacjent przygotowywany jest do operacji przez anestezjologa. Do żył kończyn górnych zakładane są wenflony, przez które w trakcie operacji podawane będą płyny, leki i koncentrat krwinek czerwonych w razie potrzeby. Po znieczuleniu pacjent układany jest na stole operacyjnym na plecach. Pole operacyjne jest myte i obłożone jałowymi prześcieradłami.
Nefrektomia przezotrzewnowa - szczegóły anatomiczne i technika operacji
Człowiek posiada dwie nerki położone w przestrzeni zaotrzewnowej po bokach kręgosłupa lędźwiowego. Nerki otoczone są przez tkankę tłuszczową ograniczoną przez łącznotkankową powięź Gerota. Powięź łącznotkankowa stanowi barierę w szerzeniu się procesu nowotworowego poza torebkę tłuszczową. Nerki unaczynione są przez tętnice nerkowe odchodzące od bocznej powierzchni aorty brzusznej.
Operacja rozpoczynana jest od wykonania cięcia pod łukiem żebrowym po stronie nerki z guzem. Urolog kolejno przecina tkankę podskórną, powięź i mięśnie tworzące ścianę jamy brzusznej tak aby bezpiecznie dotrzeć do jamy otrzewnowej. Po otwarciu otrzewnej oceniana jest palpacyjnie wątroba pod kontem zmian przerzutowych. Kolejnym etapem jest przesunięcie jelit dośrodkowo tak aby uwidocznić otrzewną ścienną, która następnie jest nacinana w linii Toldta. Kolejnym etapem jest odpreparowanie otrzewnej i powięzi Gerota. Preparowanie torebki tłuszczowej rozpoczyna się w dolnym biegunie nerki gdzie odpreparowany jest moczowód i przecięty pomiędzy podwiązkami. Uwidocznienie szypuły naczyniowej nerki - tętnicy i żyły nerkowej jest kluczowym etapem operacji. Po uwidocznieniu naczyń zaopatrujących nerkę zakładane są na nie klemy, które umożliwiają odcięcie unaczynienia nerki. Szypuła naczyniowa jest podwiązywana grubymi podwiązkami a nerka krok po kroku odpreparowywana wraz z otaczającą tkanką tłuszczową i nadnerczem. Po usunięciu nerki kontrolowana jest hemostaza - drobne naczynia są koagulowane lub podwiązywane a w miejscu po nerce zakładany jest dren wyprowadzony przez skórę. Dren jest plastikową, elastyczną rurką przez którą odpływa treść zbierająca się w loży po nerce. Warstwowe szycie powłok i jałowy opatrunek na operowaną okolicę kończą zabieg. Po operacji pacjent jest wybudzany z narkozy i przewożony na salę operacyjną. Po ustabilizowaniu parametrów życiowych i obserwacji powraca na oddział.

Fot. Nerka prawa - preparat z nefrektomii radykalnej - wynik histopatologiczny : Carcinoma clarocellulare F - 2
Cały materiał usunięty podczas operacji umieszczany jest w pojemniku wypełnionym formaliną i wysyłany do badania histopatologicznego. Patomorfolog po opracowaniu preparatu ocenia jego budowę histopatologiczną pod mikroskopem. Wynik badania histopatologicznego odsyłany jest do oddziału po 2 - 3 tygodniach po operacji.
Polecane artykuły
Objawy raka nerki
Nefrektomia pozaotrzewnowa wykonywana w guzach nerki i skrajnym wodonerczu
Klasyfikacja TNM guzów nerki
Rak jasnokomórkowy nerki - informacje ogólne