Torbiel nerki - diagnostyka obrazowa
Badanie USG jamy brzusznej
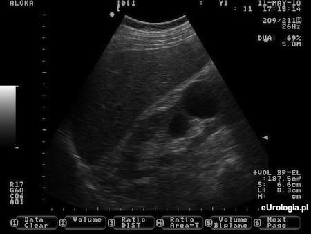
Ultrasonografia jamy brzusznej jest najczęstszym badaniem obrazowym, podczas którego stwierdzana jest torbiel nerki. Według Daltona torbiel nerki musi spełniać następujące kryteria aby móc rozpoznać torbiel prostą nerki :
bezechowa zawartość
kulisty lub owalny kształt
dobrze widoczna ściana dystalna
wzmocnienie echa poza torbielą

Fot. Torbiel prosta prawej nerki widoczna w USG.
Tomografia komputerowa - CT
Jest to badanie, w którym można stwierdzić torbiele mające kilka milimetrów średnicy. Podstawowymi kryteriami torbieli prostej nerki stwierdzonej w CT są :
kulisty kształt z bezechową zawartością
gęstość płynu zbliżona do gęstości wody
zmiana dobrze odgraniczona od miąższu nerkowego
brak wychwytu środka kontrastowego
Urografia
Badanie pozwalające na ukazanie stosunków anatomicznych torbieli nerki i układu kielichowo - miedniczkowego. Najczęściej torbiel nerki powoduje modelowanie układu kielichowo miedniczkowego nerki. Badanie pozwala także na zobrazowanie ewentualnego połączenia światła torbieli nerki z układem kielichowo miedniczkowym.