Nakłucie torbieli prostej nerki - przezskórna punkcja torbieli
Zmiany torbielowate w nerkach występują u blisko 30% pacjentów. Punkcja torbieli jest zabiegiem polegającym na nakłuciu torbieli przez skórę i oporóżnieniu jej wnętrza z płynu. Wskazaniem do punkcji torbieli prostej nerki są torbiele objawowe. Wśród najczęstszych wskazań do punkcji torbieli wymienia się:
dolegliwości bólowe lub uczucie ucisku w okolicy lędźwiowej - najczęściej obserwowane w przypadku dużych torbieli. Objętość objawowych torbieli najczęściej wynosi od kilkuset do ponad 1000 ml.
torbiele zakażone - płyn w torbieli może ulec zakażeniu wówczas konieczna jest przezskórna punkcja w celu opróżnienia torbieli i wysłania pobranego materiału do badania mikrobilogicznego. Czasami istnieje konieczność pozostawienia w świetle torbieli plastikowego drenu, który utrzymywany jest przez kilka dni.
wodonercze - poszerzenie układu kielichowo miedniczkowego z towarzyszącym zwężeniem warstwy korowej nerki spowodowane przez ucisk torbieli na połączenie miedniczkowo - moczowodowe lub moczowód.
nadciśnienie tętnicze - torbiele proste o dużych rozmiarach lub niekorzystenj lokalizacji mogą mieć wpływ na ciśnienie tętnicze.

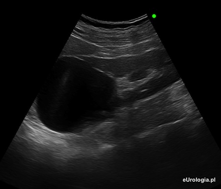
Fot. Obraz USG torbieli prostej nerki lewej.
Przebieg punkcji torbieli nerki
Nakłucie torbieli nerki w celu jej opróżnienia jest zabiegiem wykonywanym pod kontrolą USG. Zabieg może być wykonany w warunkach oddziału urologicznego lub ambulatoryjnie. Po ułożeniu pacjenta - najczęściej chory układany jest na boku przeciwległym do punkcji lub brzuchu, okolica wkłucia przemywana jest płynem odkażającym. Po obłożeniu pola operacyjnego jałowymi serwetami lekarz lokalizauje torbiel za pomocą głowicy USG, do której dołączona jest specjalna przystawka punkcyjna. Po wybraniu dogodnego miejsca lekarz ostrzykuje środkiem znieczulającym skórę w miejscu wprowadzenia igły punkcyjnej. Kolejnym krokiem jest wprowadzenie igły punkcyjnej pod kontrolą obrazu na ekranie ultrasonografu do światła torbieli.
Zawartość wnętrza torbieli usuwana jest za pomocą strzykawki. W przypadku zakażonej torbieli pobrany materiał wysyłany jest do badania mikrobiologicznego w celu wykonania antybiogramu. Pobrany płyn może być wysłany do badania cytologicznego. W przypadku dużych torbieli lub torbieli zakażonych lekarz może zdecydować o pozostawieniu w świetle torbieli specjalnej rurki - drenu na kilka dni. W niektórych ośrodkach stosuje się podanie antybiotyku do światła torbieli, który teoretycznie poprzez działanie drażniące może doprowadzić do sklejenia ścian torbieli i zmniejsza ryzyko infekcji. Jałowy opatrunek w miejscu wkłucia igły kończy zabieg.
Powikłania i skuteczność przezskórnej punkcji torbieli
Punkcja torbieli nerki jest stosunkowo bezpiecznym zabiegiem. Powikłania po nakłuciu torbieli obserwowane są rzadko i z reguły nie wymagają interwencji lekarskiej. Jednymi z częściej wymienianych powikłań są infekcja lub krwawienie do światła torbieli. W rzadkich przypadkach możliwe są powikłania związane z uszkodzeniem nerki lub sąsiadujących struktur, o których można przeczytać w artykule: Nakłucie torbieli prostej nerki.