Pielografia
Pielografia - badanie radiologiczne polegające na podaniu środka kontrastującego do miedniczki nerkowej lub moczowodu i wykonaniu zdjęcia RTG. Pielografia pozwala na uwidocznienie nieprawidłowości w obrębie miedniczki nerkowej lub moczowodu w sytuacji gdy inne badania obrazowe nie wnoszą szczegółów diagnostycznych lub nie są dostępne.
W zależności od drogi podania środka kontrastującego wyróżnia się pielografię zstępującą i pielografię wstępującą.
Pielografia zstępująca
Pielografia zstępująca jest badaniem polegającym na wykonaniu zdjęcia przeglądowego nerek i pęcherza po podaniu środka kontrastującego przez cewnik nefrostomijny założony do układu kielichowo - miedniczkowego nerki. Badanie stosowane u pacjentów z założoną wcześniej nefrostomią pomaga uwidocznić lokalizację i rodzaj przeszkody w odpływie moczu z nerki.
Badanie wykonywane jest w pracowni rentgenowskiej lub na sali endoskopowej wyposażonej w aparat rentgenowski - ramię C. Pielografia zstępująca jest badaniem bezpiecznym i może być wykonywana ambulatoryjnie. W czasie badania pacjent układany jest na plecach. Przez cewnik nefrostomijny podawany jest środek kontrastujący i wykonywane są zdjęcia rentgenowskie.
Pielografia zstępująca jest badaniem dobrze znoszonym przez pacjentów. Jest to badanie niebolesne, czasami pacjenci zgłaszają chwilowe pobolewanie okolicy lędźwiowej. W przypadku wątpliwości diagnostycznych urolog pozostawia zamknięty dren nefrostomijny i zleca późne zdjęcia rentgenowskie celem oceny spływu zakontrastowanego moczu.

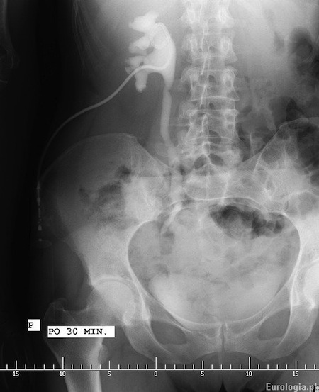
Fot. Pielografia zstępująca
Zdjęcie rentgenowskie powyżej przedstawia obraz pielografii zstępującej po 30 minutach od podania kontrastu przez dren nefrostomijny. Nefrostomia założona była około 3 tygodni wcześniej z powodu prawostronnego roponercza. Stop spływu na wysokości dolnej krawędzi stawu krzyżowo - biodrowego. Przyczyną, która spowodowała roponercze była kamica moczowodowa.
Pielografia wstępująca
Pielografia wstępująca jest badaniem radiologicznym polegającym na założeniu cewnika moczowodowego do moczowodu i podaniu środka cieniującego - kontrastu. Badanie wykonywane jest w przypadku gdy nie ma możliwości zobrazowania miedniczki lub moczowodu innymi badaniami.
Badanie wykonywane jest w pozycji leżącej w pracowni rentgenowskiej lub na sali endoskopowej wyposażonej w aparat rentgenowski. W czasie badania urolog powoli podaje kontrast cewnikiem moczowodowym i na ekranie monitora kontroluje stopień wypełnienia układu moczowego.

Fot. Pielografia wstępująca prawego moczowodu u pacjenta z rakiem urothelialnym moczowodu.
Pielografia wstępująca jest badaniem stosunkowo bezpiecznym i nie wymaga znieczulenia pacjenta. Pacjenci z alergią na środki kontrastujące stosowane w radiologii mogą mieć wykonywaną pielografię wstępującą bez specjalnego przygotowania. Na zdjęciu powyżej widoczne jest zdjęcie rentgenowskie wykonane podczas pielografii wstępującej u pacjenta z rakiem prawego moczowodu - widoczny jest stop kontrastu w miejscu rozrostu nowotworowego.