USG układu moczowego
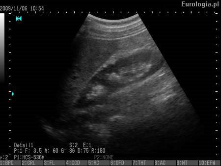
Fot. Nerka prawa - obraz USG.
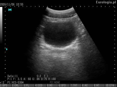
Fot. Pęcherz moczowy - obraz USG.
Type above and press Enter to search. Press Esc to cancel.