Urografia
Urografia jest badaniem radiologicznym wykorzystywanym w urologii do oceny budowy i funkcji układu moczowego. Istotą badania jest dożylne podanie kontrastu pacjentowi i wykonanie serii zdjęć rentgenowskich jamy brzusznej, na których uwidacznia się zakontrastowany układ moczowy. Początkowo wszystkie środki kontrastujące zawierały jod, który jest nieprzezierny dla promieni rentgenowskich i wydalany w 100% w moczu pacjenta.
Układ moczowy człowieka zbudowany jest z nerek, moczowodów, pęcherza moczowego i cewki moczowej. Kontrast podany dożylnie filtrowany jest przez nerki i wydalany do moczu pacjenta. Układ kielichowo - miedniczkowy w nerkach pacjenta wydzielając zakontrastowany mocz ulega wypełnieniu dzięki czemu na zdjęciu rentgenowskim można ocenić strukturę kielichów, miedniczki nerkowej a także uwidocznić ich nieprawidłowości.
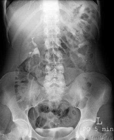
Pierwsze zdjęcie rentgenowskie po podaniu kontrastu w czasie urografii pokazuje tak zwaną fazę nefrograficzną – uwidacznia się warstwa miąższowa nerek. Już pierwsze zdjęcie wykonane podczas urografii w większości przypadków pozwala ocenić ilość nerek i ich położenie.
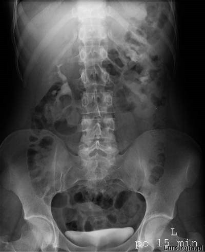
Kolejną fazą w badaniu jest faza wydzielnicza, w czasie której uwidocznione zostają układ kielichowo- miedniczkowy i moczowody. Urolog na podstawie zdjęć urograficznych ocenia nerki i moczowody pod kątem obecności w nich złogów, wad anatomicznych – np. zwężenie połączenia miedniczkowo – moczowodowego lub nowotworów. Nowotwory urothelialne występujące w układzie kielichowo – miedniczkowym lub moczowodzie widoczne są jako ubytki wypełnienia. W przeszłości urografia była podstawową metodą rozpoznawania guzów nerki.
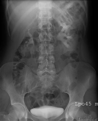
Mocz spływający z układu kielichowo – miedniczkowego moczowodami do pęcherza zakontrastowuje układ moczowy dzięki czemu na zdjęciach rentgenowskich możliwa jest ocena czy spływ jest swobodny, czy utrudniony. W przypadku utrudnionego spływu badanie z reguły pozwala na ocenę miejsca i rodzaju przeszkody.
Zakontrastowany mocz spływając do pęcherza wypełnia go co umożliwia ocenę jego wnętrza. Guzy pęcherza mogą być widoczne jako ubytki wypełnienia. W czasach kiedy nie było dostępu do ultrasonografii zdjęcie urograficzne wykonane po oddaniu moczu było podstawą do oceny stopnia zalegania moczu po mikcji.
Czy urografia jest niebezpieczna ?
We współczesnych czasach reakcje uczuleniowe na kontrast stosowany podczas urografii zdarzają się niesłychanie rzadko. U pacjentów, którzy w przeszłości mieli problemy podczas badań radiologicznych z podaniem kontrastu zaleca się stosowanie środków kontrastujących niezawierających jodu z odpowiednią premedykacją przed badaniem.
Co się czuje podczas urografii ?
Większość pacjentów nie zgłasza żadnych odczuć podczas badania. Czasami pacjenci skarżą się na uczucie ciepła, mrowienie ust, swędzenie skóry lub nudności. Sporadycznie pacjenci zgłaszają metaliczny posmak w ustach. Dożylne podanie kontrastu może spowodować chwilowy spadek ciśnienia tętniczego.
Czy do badania urograficznego konieczne jest przygotowanie ?
Tak, badanie wykonywane jest na czczo. Aby badanie wniosło jak najwięcej szczegółów diagnostycznych w jelitach nie może być zbyt dużo zalegających gazów. W zależności od ośrodka wykonującego badanie urograficzne stosowane są różne schematy przygotowawcze do badania – np. stosowanie środków przeczyszczających przed badaniem lub podanie pacjentowi Espumisanu w dniu poprzedzającym urografię. Pacjent powinien poinformować lekarza lub personel wykonujący badanie urograficzne o reakcjach uczuleniowych na kontrast, ciąży, alergiach na leki i innych schorzeniach, które mogą mieć wpływ na przebieg badania.
Jak wygląda urografia ?
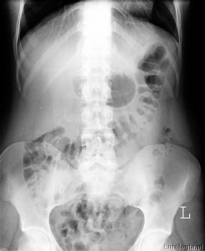
Urografia wykonywana jest w pracowni rentgenowskiej i trwa około 30 minut. W czasie badania pacjent układany jest w pozycji leżącej na plecach na stole rentgenowskim. Pierwsze zdjęcie wykonane przed podaniem kontrastu nazywane jest zdjęciem przeglądowym nerek i pęcherza, na którym możliwe jest uwidocznienie cieni mogących być uwapnionymi złogami w układzie moczowym. Kolejnym etapem badania jest dożylne podanie kontrastu przez wenflon wkłuty na przedramieniu pacjenta. Po podaniu kontrastu wykonywana jest seria zdjęć rentgenowskich w odpowiednich odstępach czasu. Czasami konieczne jest wykonanie tak zwanych późnych zdjęć urograficznych w sytuacji gdy w standardowym czasie nie uzyskano zakontrastowania układu kielichowo – miedniczkowego lub moczowodu.
Czy są jakieś przeciwwskazania do wykonania badania ?
Tak, pacjentki w ciąży nie powinny mieć wykonywanej urografii. Pacjenci z upośledzoną funkcją nerek również nie powinni być kwalifikowani do urografii. Kontrast podawany dożylnie wydalany jest z moczem pacjenta dlatego badanie urograficzne może być przeprowadzone u pacjentów z prawidłową funkcją nerek. Pacjenci z podwyższonymi wartościami mocznika i kreatyniny nie są odpowiednimi kandydatami do wykonania urografii.
Przykładowe badanie urograficzne :




