Ultrasonografia moszny - badanie USG jąder
Ultrasonografia wykorzystuje zjawisko rozchodzenia się, rozpraszania i odbicia fali ultradźwiękowej na granicy tkanek o różnej gęstości. Ze względu na bliskość jąder w stosunku do głowicy ultrasonografu i doskonałe możliwości obrazowania badanie USG stało się podstawową metodą o największej czułości w diagnostyce obrazowej chorób jąder i moszny.
Worek mosznowy inaczej moszna - łac. scrotum jest skórno - mięśniowym workiem, w którym znajdują się jądra, najądrza i powrózek nasienny). Zadaniem worka mosznowego jest zapewnienie odpowiedniej temperatury ciała, która jest niższa od temperatury panującej wewnątrz jamy brzusznej. Niższa temperatura jest niezbędna dla prawidłowej spermatogenezy. Jądra otoczone są osłonką białawą i oddzielone są od siebie przegrodą moszny.
Anatomia ultrasonograficzna narządów moszny
Jądro dorosłego mężczyzny ma owalny kształt i wymiary 3 - 5 centymetrów długości i około 2 - 3 centymetrów szerokości. U większości mężczyzn obserwuje się niewielkiego stopnia różnicę w wielkości jąder. W warunkach prawidłowych najądrze dorosłego mężczczyny ma wielkość około 7 - 10 milimetrów.

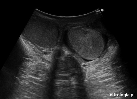
Fot. Obraz ultrasonograficzny prawidłowych jąder w mosznie.
Powrózek nasienny jest strukturą, która biegnie od jądra do kanału pachwinowego. W skład powrózka nasiennego wchodzą naczynia tętnicze i żylne zaopatrujące jądro, nasieniowód, mięsień dźwigacz jądra, naczynia chłonne i nerwy. Wszystkie struktury w obrębie moszny mają unaczynienie pochodzące z różnych źródeł. Tętnice jądrowe są dużymi naczyniami odchodzącymi od aorty brzusznej, które połączone są licznymi anastomozami z tętnicami nasieniowodowymi, które odchodzą od naczyń podbrzusznych. Naczynia żylne drenujące jądro tworzą splot wiciowaty - łac. plexus pampiniformis, który tworzy żyły jądrowe uchodzące do żyły nerkowej po stronie lewej i żyły głownej dolnej po stronie prawej.
Wskazania do wykonania badania USG moszny
Badanie USG moszny jest najdokładniejszym badaniem obrazowym wykorzystywanym w diagnostyce i leczeniu wszystkich schorzeń moszny. Najczęściej wymienianymi wskazaniami do wykonani badania są:
ból jądra ( stan zapalny, uraz jądra, skręt powrózka, żylaki powrózka nasiennego, skręt przyczepka, zapalenie najądrza)
ustalenie przyczyny powiększenia moszny (wodniak, guz jądra, przepuklina mosznowa, krwiak moszny)
diagnostyka niepłodności męskiej (budowa jądra, żylaki powrózka nasiennego)
ultrasonograficzna ocena jąder w przypadku ich atrofii lub wnętrostwa
urazy moszny (krwiak moszny, rozkawałkowanie jądra, uszkodzenie osłonki białawej jądra)
ocena jąder u pacjentów z przedwczesnym dojrzewaniem lub feminizacją
ocena jąder u pacjentów z limfadenopatią pozaotrzewnową (powiększenie węzłów chłonnych w przestrzeni zaotrzewnowej)
W jaki sposób wykonywane jest USG jąder
Badanie nie wymaga specjalnego przygotowania. Badanie wykonywane jest w pozycji leżącej. Do badania USG moszny wykorzystywane są głowice liniowe o wysokiej częstotliwości wyposażone w opcje kolorowego Dopplera i Dopplera mocy. Urolog po nałożeniu specjalnego żelu na mosznę przykłada głowicę USG do moszny i ocenia obraz jąder na ekranie aparatu USG. Badanie moszny rozpoczynane jest z reguły od zdrowego jądra, w czasie którego lekarz dobiera odpowiednie nastawy aparatu. Obraz ultrasonograficzny moszny pozwala na ocenę wielkości jądra i najądrza, jego echostruktury i unaczynienia. W przypadku podejrzenia żylaków powrózka nasiennego lub współistnienia przepukliny mosznowej urolog może poprosić pacjenta o wykonanie próby Valsalvy i próby kaszlowej w pozycji stojącej.
Najczęstsze schorzenia moszny wymagające diagnostyki ultrasonograficznej
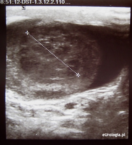
Wodniak jądra - łac. Hydrocele
Najczęstszym schorzeniem powodującym powiększenie moszny jest wodniak jądra. W warunkach prawidłowych w osłonkach jądra występuje śladowa ilość płynu. Nagromadzenie płynu pomiędzy warstwami osłonki pochwowej jądra powoduje powstanie wodniaka jądra. Wodniak jadra może być jednostronny lub obustronny. W badaniu ultrasonograficznym moszny u pacjenta z wodniakiem widoczna jest bezechowa przestrzeń płynowa otaczająca prawidłowej wielkości jądro. Najczęściej występującą postacią wodniaka jądra jest wodniak jednokomorowy. Wodniaki wielokomorowe najczęściej powstają w wyniku zapalenia jądra lub urazu.

Fot. Ultrasonograficzny obraz wodniaka jądra
Żylaki powrózka nasiennego - łac. Varicocele
Żylakami powrózka nasiennego nazywane są patologicznie poszerzone naczynia żylne splotu wiciowatego. Za graniczną wartość poszerzenia naczyń żylnych uznaje się 2 milimetry średnicy. Żylaki powrózka najczęściej występują u mężczyzn w wieku 20 - 35 lat. Nagłe pojawienie się żylaków powrózka u mężczyzny powyżej 50 roku życia może być objawem zaawansowanego nowotworu wnęki nerki (żyła jądrowa po stronie lewej jest dopływem lewej żyły nerkowej). Rozpoznanie żylaków powrózka nasiennego w badaniu USG może stanowić problem. W USG w skali szarości żylaki widoczne są jako tubularne struktury, które mogą ulegać poszerzeniu w pozycji stojącej i w czasie próby Valsalvy. Badanie USG z opcją kolorowego Dopplera pozwala na uwidocznienie wstecznego przepływu krwi żylnej w naczyniach splotu wiciowatego.
Zapalenie jądra - łac. Orchitis
Zapalenie jądra u młodych mężczyzn najczęściej spowodowany jest zakażeniem Chlamydia trachomatis. U pacjentów starszych najczęstszym czynnikiem etiologicznym jest pałeczka okrężnicy - Escherichia coli. Choroba objawia się bolesnym powiększeniem jądra, silnym bólem i ogólnym złym samopoczuciem. Obraz ultrasonograficzny jądra w stanie zapalnym uzależniony jest od czasu wystąpienia zapalenia. W początkowym okresie zmiany w obrębie jądra są na tyle dyskretne, że mogą być niewidoczne w badaniu USG. W miarę upływu czasu jądro ulega powiększeniu, osłonki jądra stają się grubsze a wokół jądra można obserwować pojawienie się wysiękowego płynu. Cechą charakterystyczną w badaniu z opcją kolorowego Dopplera jest wzmożony przepływ krwi w obrębie jądra. Powikłaniem zapalenia jądra może być ropień jądra widoczny jako hypoechogeniczny obszar w obrębie miąższu jądra. innym powikłaniem zapalenia jądra może być zawał jądra objawiający się brakiem przypływów naczyniowych w opcji kolorowego Dopplera i obniżeniem echogeniczności jądra. Zawał jądra jest najczęściej wynikiem ucisku nacieczonych tkanek na tętnice zaopatrujące jądro lub zaburzeniem odpływu krwi żylnej.
Zapalenie najądrza - łac. Epididymitis
Zapalenie najądrza jest częstą przyczyną wizyt w gabinecie urologicznym i stanowi najczęstszą przyczynę bólu jądra u pacjentów poniżej 18 roku życia. W badaniu USG w odcieniach szarości zapalenie najądrza objawia się powiększeniem najądrza z obniżeniem jego echogeniczności. W badaniu z opcją kolorowego Dopplera zapalenie najądrza charakteryzuje się wzmożonym przepływem naczyniowym.
Torbiel nasienna - łac. Spermatocele
Torbiel nasienna jest cienkościenną strukturą zlokalizowaną w obrębie głowy najądrza. Torbiele nasienne mają z reguły niewielkie rozmiary a w badaniu USG widoczne są jako kuliste przestrzenie o niewielkich rozmiarach.
Skręt jądra - łac. Torsio testis
Skręt jądra a dokładniej skręt powrózka nasiennego jest najczęstszą przyczyną ostrej moszny o młodych chłopców. Skręt powrózka nasiennego wzdłuż długiej osi powoduje zamknięcie światła naczyń zaopatrujących jądro i może prowadzić do ostrego niedokrwienia jądra i jego martwicy. Obraz ultrasonograficzny skrętu jądra w skali szarości uzależniony jest od czasu wystąpienia skrętu. W ciągu pierwszych godzin od wystąpienia skrętu jądro ma prawidłową echostrukturę, która w miarę upływu czasu i postępującego niedokrwienia zmienia swoją echogeniczność. Niedokrwione jądro z reguły ulega powiększeniu a w osłonkach jądra może pojawić się wysiękowy płyn. USG jądra z opcją kolorowego Dopplera umożliwia uwidocznienie braku przepływu krwi w obrębie jądra i najądrza.
Guz jądra
Badanie USG jąder charakteryzuje blisko 95% skutecznością w wykrywaniu guzów jądra. W badaniu ultrasonograficznym guzy jądra widoczne są jako hipoechogeniczne kuliste obszary o jednorodnej echostrukturze z dobrze widocznymi granicami. Czasami w obrębie guza mogą być widoczne przestrzenie płynowe. Guzy jądra mogą być jednoogniskowe lub wieloogniskowe. W opcji kolorowego Dopplera w obrębie guza widoczny jest wzmożony przepływ w obrębie patologicznej zmiany.

Fot. Rak jądra - liczne ogniska guza w USG moszny

Fot. Guz dolnego bieguna prawego jądra - obraz USG
Ultrasonograficzna ocena urazów moszny
USG moszny jest podstawowym badaniem w diagnostyce urazów moszny. Uraz moszny może prowadzić do stłuczenia jądra, powstania krwiaka moszny lub rozkawałkowania jądra. Czasami krwiak moszny może być trudny do rozróżnienia z guzem jądra szczególnie w sytuacji gdy trudno jest uwidocznić jądro w mosznie. Obecność przepływów naczyniowych w obrębie guza i brak naczyń w obrębie krwiaka stwierdzane w opcji kolorowego Dopplera stanowi podstawę rozpoznania. Najważniejszą kwestią w urazie moszny jest ustalenie czy doszło do uszkodzenia jądra. Echogeniczność stłuczonego jądra może być patologicznie zwiększona lub obniżona. Przerwanie osłonki białawej jądra objawia się przedostaniem tkanki jądra poza obrysy jądra.
Czy badanie USG moszny jest bezpieczne?
Badanie USG moszny jest całkowicie bezpieczne i może być wielokrotnie powtarzane.