Pieloureterografia zstępująca - inaczej pielografia zstępująca
Ureteropielografia zstępująca polega na wykonaniu zdjęcia przeglądowego nerek i pęcherza po podaniu środka kontrastującego przez cewnik nefrostomijny założony do układu kielichowo - miedniczkowego nerki. Badanie stosowane u pacjentów z założoną wcześniej nefrostomią pomaga uwidocznić lokalizację i rodzaj przeszkody w odpływie moczu z nerki.
Badanie wykonywane jest w pracowni rentgenowskiej lub na sali endoskopowej wyposażonej w aparat rentgenowski - ramię C. Ureteropielografia zstępująca jest badaniem bezpiecznym i może być wykonywana ambulatoryjnie. W czasie badania pacjent układany jest na plecach. Przez cewnik nefrostomijny podawany jest środek kontrastujący i wykonywane są zdjęcia rentgenowskie.
Ureteropielografia zstępująca jest badaniem dobrze znoszonym przez pacjentów. Badanie jest niebolesne, czasami pacjenci zgłaszają chwilowe pobolewanie okolicy lędźwiowej w momencie podawania kontrastu. W przypadku wątpliwości diagnostycznych urolog pozostawia zamknięty dren nefrostomijny i zleca późne zdjęcia rentgenowskie celem oceny spływu zakontrastowanego moczu.

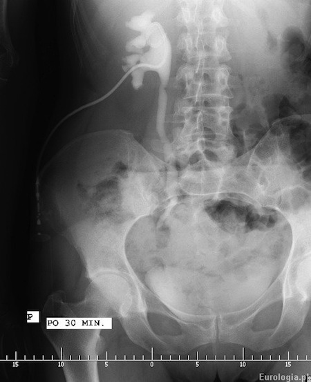
Fot. Pieloureterografia zstępująca wykonana u pacjenta po 30 minutach od podania środka kontrastującego do drenu nefrostomijnego. W opisywanym przypadku dren nefrostomijny założony był kilka tygodni wcześniej z powodu roponercza w przebiegu kamicy prawego moczowdu - złóg tuż poniżej prawego stawu krzyżowo - biodrowego.